胸部CT検査(低線量肺がんCT検診)
ページ内目次
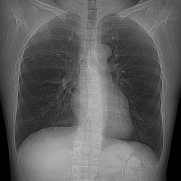
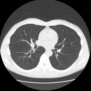
胸部CT検査とは?
肺をスライスした画像を撮影し、病気を見つける検査です。
胸部エックス線よりも早期のがんの検出に優れています。
また肺だけでなく、呼吸器疾患や、血管疾患も検知することができます。
聖隷予防検診センターでは、病院で行うCT検査よりも低線量となっており、被ばくも最小限に抑えられています。
初期の肺がんは自覚症状がほとんどないため、肺がんの早期発見のためには定期的な受診が望ましいです。
また当センターでは、重喫煙者※に対する低線量肺CT検査の実施を推奨しています。
※重喫煙者:1日の平均喫煙本数×喫煙年数が600以上の人
参考|国立がん研究センター がん対策研究所「有効性評価に基づく肺がん検診ガイドライン2025年度版」
胸部エックス線よりも早期のがんの検出に優れています。
また肺だけでなく、呼吸器疾患や、血管疾患も検知することができます。
聖隷予防検診センターでは、病院で行うCT検査よりも低線量となっており、被ばくも最小限に抑えられています。
初期の肺がんは自覚症状がほとんどないため、肺がんの早期発見のためには定期的な受診が望ましいです。
また当センターでは、重喫煙者※に対する低線量肺CT検査の実施を推奨しています。
※重喫煙者:1日の平均喫煙本数×喫煙年数が600以上の人
参考|国立がん研究センター がん対策研究所「有効性評価に基づく肺がん検診ガイドライン2025年度版」
オプション検査のご案内
検査の注意事項
検査をお受けいただけない方
- 妊娠中、妊娠の可能性がある
- ペースメーカーを使用している
- グルコースモニタリングシステム(血糖測定器)を装着している
- 2週間以内にバリウムの検査を受けている
服装
以下のものは、更衣室で事前に外してから、撮影室へお越しください。

- 金属やプラスチックの付いた下着や服、アクセサリー
- 湿布やエレキバン等の貼り薬
さあ、検査開始です!

両手を頭の上で組んでいただきます。
検査は数分で終了します。
この姿勢のまま、動かないようにしてください。
検査は数分で終了します。
この姿勢のまま、動かないようにしてください。

まずは、位置決めの写真をとります。
機械の音声で、呼吸の合図がありますので、大きく息を吸って止めてください。
機械の音声で、呼吸の合図がありますので、大きく息を吸って止めてください。

次に、輪切りの写真をとります。
もう一度、機械の音声で呼吸の合図をします。
1回目より少し長い時間(10秒程度)の息止めが必要になります。
もう一度、機械の音声で呼吸の合図をします。
1回目より少し長い時間(10秒程度)の息止めが必要になります。
検査終了
画像は医師2名で読影します。結果は後日お伝えします。



