循環器科
INDEX
メッセージ
あなたの命を守る最前線ハートチーム
すぐに駆けつけ即対応
「隣人愛を胸にすべての命に向き合う」循環器科は365日、24時間体制で救急患者を全て受け入れており、いつでも救急診療や緊急カテーテル治療ができる体制を取っています。私たちは患者さんに対してどんな状況でも誠意をもって十分な説明を行い、信頼のある関係を築いて診療を行っています。患者さんの健康を守るため、最先端医療を提供できるよう新たな医療資源、技術を積極的に導入しています。

専門的な治療・活動の紹介
虚血性心疾患
主な症状
虚血性心疾患は、心臓の筋肉に十分な血液が届かなくなることで起こる病気です。
代表的な症状には以下のようなものがあります。
- 胸の痛み・圧迫感
- 胸の奥が締め付けられるような感じ
- 息切れや動悸、冷や汗
- 首・肩・腕・背中などへの放散痛
虚血性心疾患(狭心症・心筋梗塞)について
心臓の筋肉(心筋)に酸素や栄養を送っている血管を冠動脈といいます。血液中の悪玉コレステロールが多かったり、血糖値が高い状態が続くと、冠動脈の壁にプラーク(脂肪のかたまり)ができ、血管が硬く・狭くなる動脈硬化が進行します。
血管が狭くなると、血液の流れが悪くなり、狭心症を発症します。血管が完全に詰まると、心筋梗塞を起こす危険があります。

主な治療方法
カテーテル治療(PCI)
狭心症を改善する有力な方法が、カテーテル治療(冠動脈インターベンション:PCI)です。局所麻酔で行い、腕や足の血管から細い管(カテーテル)を通して治療します。
治療では、
- バルーン(風船)で狭くなった血管を広げる
- ステント(金属の筒)を入れて血流を確保する
バルーン(風船)狭窄血管、閉塞血管を拡張
ガイドワイヤー挿入~バルーンカテーテル拡張


ステント留置:閉塞血管を拡張の維持
ステント挿入~ステント留置


血管が硬く石灰化している場合には、以下のような特殊治療も行います。
- ロータブレーター:ドリルで硬い部分を削る
- ダイアモンドバック:回転で石灰化を削る
- 血管内石灰化破砕術(IVL):振動波で石灰化を砕く
ロータブレーダー
先端にあるダイヤモンドドリルが高速回転し石灰化病変を削ります。
Boston Scientific画像提供
ダイヤモンドバック
先端のクラウンが高速軌道回転することで石灰化病変を削ります。

血管内石灰化破砕術
医療用の小さなバルーンが付いたカテーテルを冠動脈冠動脈血管壁の内膜~中膜の間に蓄積した石灰化部分で膨らませ、音圧波で硬い石灰化を砕きます。
VOL. 14, NO. 12, 2021
また、枝分かれ部分の狭窄(分岐部病変)には、
- 方向性冠動脈粥腫切除術(カッターで病変を削る)
方向性冠動脈粥腫切除術
カテーテルに取り付けられたカッターを使って、冠動脈の狭窄部位にあるプラークを削り取ることで血管内腔を広げる治療法です。分岐部病変に効果的で、ステント使用を回避できる場合もあります。

外科手術・重症例への対応
重症の冠動脈疾患に対しては、心臓血管外科と連携し、
- 冠動脈バイパス手術(CABG)
- カテーテル治療(PCI)
急性心筋梗塞で心臓の働きが極端に弱くなった場合には、
- IABP(大動脈内バルーンパンピング)
- Impella(補助循環用ポンプ)
- ECMO(体外式膜型人工肺)
機械的補充循環装置
下行大動脈内に挿入した大きなバルーンカテーテルを心拍動に合わせて拡張、収縮を繰り返すことによって心臓の補助を行う装置です。


補助循環用ポンプカテーテル(Impella)
左室から大動脈に血流を送り、循環補助、左室補助の役割を果たします。
体外式膜型人工肺 (ECMO)
人工肺とポンプを用いた体外循環回路による治療です。人工呼吸器や昇圧薬など、通常の治療では救命困難な重症呼吸不全や循環不全に適応とされます。

当院の特色
最新の心臓CT・FFRct解析
心臓CTで撮影した画像から冠動脈の3Dモデルを作成し、血流解析(FFRct)を行っています。この解析によって、血流を数値化し、狭心症の診断や治療の必要性を判断することが可能です。
心臓CT

FFRct

冠微小循環障害の診断
カテーテル検査で狭窄が見つからない場合でも、冠微小循環障害(細い血管レベルの異常)を調べる検査を行っています。ガイドワイヤーを用いて心臓内の血流を直接測定し、原因を明らかにします。
診断後は薬物療法を行い、多くの患者さんで胸の症状が改善しています。
冠微小循環障害


Abbott画像提供
ECMO治療の実績
当院はECMO(人工心肺)管理に豊富な実績があり、コロナ禍においても重症COVID-19患者のECMO治療適応患者を積極的に受け入れ、救命に貢献してきました。虚血性心疾患は、早期の診断と適切な治療で大きく改善が見込める病気です。
当院では、最新技術を活用した精密診断と、チーム医療による最適な治療を提供しています。
胸の違和感や痛みを感じたら、早めにご相談ください。
不整脈
主な症状
不整脈とは、心臓を動かす「電気の流れ」に異常が起こり、脈のリズムが乱れる病気です。症状はさまざまで、以下のようなものがあります。
- 動悸(ドキドキ・胸がバクバクする感じ)
- 胸の不快感や圧迫感
- めまい、ふらつき
- 意識を失う(失神)
- 息切れ、疲れやすさ
そのため、早期発見と適切な治療がとても重要です。
不整脈(頻脈性不整脈・徐脈性不整脈)について
不整脈は大きく2つのタイプに分けられます。
- 頻脈性不整脈:脈が異常に速くなるタイプ
- 徐脈性不整脈:脈が異常に遅くなるタイプ
主な治療方法
頻脈性不整脈の治療
代表的な治療法がカテーテルアブレーションです。
足の付け根などの血管から、直径数mmの細い管(カテーテル)を挿入し、心臓の中で異常な電気信号を発生させている部分を特定して治療します。
当院では、以下の3種類のアブレーションを用いています。
- 高周波通電アブレーション:熱で異常部位を焼灼
- 冷凍バルーンアブレーション:冷却して異常部位を止める
- パルスフィールドアブレーション(PFA):パルス電圧を用いて治療する
高周波通電アブレーション

Abbott画像提供
冷凍バルーンアブレーション

Medtronic画像提供
パルスフィールドアブレーション

Medtronic画像提供

Boston画像提供
また、CARTO・EnSiteなどの3次元マッピングシステムを使用し、安全かつ高精度な治療を行っています。
治療の前には、心臓CTを使って左房や肺静脈の形、血栓の有無、冠動脈の状態を確認します。
しかし、腎臓が悪い方や造影剤アレルギー・喘息をお持ちの方には造影剤使用が難しい場合があります。
そのような患者さんにも安全に治療を受けていただけるよう、
- 造影剤を使わない非造影CTをAI解析する方法
- 独自に研究した非造影MRI撮像法(modified Dixon法)
3次元マッピングシステム
心臓CTや心腔内エコーで得られた心臓の立体的な画像と可視化された電気信号を正確に重ね合わせます。CARTO、EnSiteなどの3次元マッピングシステムを用いることにより治療成績および安全性の向上が得られます。
- CARTO

Johnson & Johnson 画像提供
- EnSite

Abbott画像提供
非造影CT
AI(Deep learnig)を用いた非造影CT肺動静脈の自動抽出や当院独自のシークエンスで撮像した非造影MRIで造影剤を使用しないアブレーションも行っています。
徐脈性不整脈の治療
心臓の動きが遅くなる徐脈性不整脈(洞機能不全症候群、房室ブロックなど)には、ペースメーカ植込み術を行います。従来は、心室の先端(右心室心尖部)に電極を置く方法が主流でしたが、この方法では心臓の動きが不自然になり、心不全や心房細動のリスクが高まることがわかっています。
そこで近年注目されているのが、刺激伝導系ペーシング(His束ペーシングや左脚ペーシング)と呼ばれる新しい方法です。これらは、心臓本来の電気伝導経路を利用してより自然に心臓を動かすことができる治療法です。
ペースメーカ埋込み術

Medtronic画像提供
当院の特色
高度なカテーテルアブレーション技術
当院では、最新の3Dマッピングシステム(CARTO・EnSite)やパルスフィールドアブレーション(PFA)を導入し、治療成績・安全性ともに高い水準を維持しています。また、造影剤が使用できない患者さんにも配慮した非造影CT・MRIによる診断技術を国内でも先駆けて導入しています。
刺激伝導系ペーシングの先進的導入
当院は、His束ペーシング・左脚ペーシングを早期から取り入れた医療機関の一つで、非常に高い成功率を誇ります。全国の大学病院・ハートセンターとも技術交流を行い、常に最先端の治療を提供しています。最先端の心不全治療(LOT-CRT)
従来の心臓再同期療法(CRT)に、刺激伝導系ペーシングを組み合わせたLOT-CRTといった最新の治療法も積極的に取り入れ、重症心不全患者さんの予後改善に努めています。
心臓再同期療法(CRT)

Medtronic画像提供
不整脈は、軽い症状から命に関わる重症例まで幅広く存在します。
当院では、最新の機器と高い技術を備えた専門チームが、
患者さん一人ひとりに合わせた最善の治療を提供しています。
動悸やめまい、胸の違和感を感じたら、早めの受診をおすすめします。
構造的心疾患
主な症状
構造的心疾患は、心臓の弁や筋肉、血管などに構造的な異常が起こる病気の総称で、主な症状として、以下のようなものがあります。
- 息切れ
- 胸の圧迫感
- 動悸
- 疲れやすさ
- めまい
- 失神
構造的心疾患について
構造的心疾患の代表的なものに、
- 大動脈弁狭窄症(心臓と大動脈の間の弁が硬くなり、血液の流れが悪くなる病気)
- 心房細動に伴う左心耳血栓形成(不整脈によって心臓の中に血のかたまりができやすくなる状態)
これらの疾患は、放置すると心不全や脳梗塞を引き起こすことがあるため、早期診断と適切な治療が大切です。
主な治療方法
大動脈弁狭窄症の治療
大動脈弁が硬くなり開きにくくなる大動脈弁狭窄症に対しては、
- 外科的大動脈弁置換術(SAVR)
胸を開いて人工弁に入れ替える手術です。確実な治療効果が得られます。 - 経カテーテル大動脈弁置換術(TAVI)
胸を切らず、足の血管などからカテーテルを通して新しい弁を入れる方法です。
高齢の方や手術リスクの高い患者さんにも身体への負担が少ないことが特徴です。
TAVI
心房細動に伴う血栓予防治療
心房細動では、心臓の一部(左心耳)に血栓ができやすくなり、それが脳に飛んで脳梗塞を引き起こす危険があります。通常は抗凝固薬(血液をサラサラにする薬)で予防しますが、出血リスクが高い方や長期間の内服が難しい方には、経皮的左心耳閉鎖術(Watchman法)という治療法があります。
この治療は、足の付け根からカテーテルを挿入し、心臓の左心耳を器具で閉鎖することで血栓ができにくくなるようにします。
また、心臓血管外科では胸腔鏡下外科的左心耳閉鎖術(ウルフ–オオツカ法)という、より低侵襲な外科的治療も行っています。
いずれの治療も、ハートチームカンファレンスで循環器内科医・心臓血管外科医・麻酔科医・看護師・臨床工学技師・放射線技師・生理検査技師など、多職種が連携し患者さん一人ひとりの病状やリスクに応じて最適な治療方法を検討しています。
経皮的左心時閉鎖術
足の付け根の静脈からカテーテルを通して器具を留置して左心耳を閉鎖する治療法です。


当院の特色
ハートチームによる最善の治療選択
循環器内科医、心臓血管外科医、麻酔科医、看護師、臨床工学技師、放射線技師、生理検査技師など、多職種によるハートチームが一丸となり、患者さんごとに安全で最適な治療方法を検討しています。低侵襲治療体制
胸を切らないTAVI(経カテーテル大動脈弁置換術)や経皮的左心耳閉鎖術など、体への負担を最小限に抑えた治療を積極的に導入しています。これにより、高齢の方や出血リスクの高い患者さんが安心して治療を受けていただける環境を整えています。
構造的心疾患は、心臓の弁や構造の異常によって心臓の働きが弱まる病気ですが、現在では体への負担を抑えたカテーテル治療が可能となっています。
当院では、各分野の専門医が連携したチーム医療により、患者さんにとって最善の治療法を選択・実施しています。
息切れや胸の違和感を感じた際は、早めにご相談ください。
心不全
主な症状
心不全では、心臓の働きが弱まることで、
- 息切れ
- むくみ
- だるさ
- 体重増加
- 動悸
- 横になると息苦しい
重症になると、呼吸困難や倦怠感の増悪、入院を要する状態になることもあります。
心不全について
心臓のポンプ機能が低下して、全身に十分な血液を送り出せなくなる状態を指します。
原因はさまざまで、
- 心筋梗塞(心臓の血管が詰まる病気)
- 心筋症(心臓の筋肉そのものの病気)
- 心房細動などの不整脈
心不全は、一度発症すると治療を行っても再発することが多い病気です。
そのため、原因となる病気の治療だけでなく、再発予防のための継続的なケアが非常に重要です。
主な治療方法
薬物療法
心臓の負担を減らし、症状を改善・再発を予防するために、症状にあわせた薬を適切に使用します。当院では薬剤師が入院患者さんの内服薬剤について確認し、主治医と相談しながら適切な治療を行えるよう工夫を行っています。リハビリテーション
心臓リハビリ専門スタッフによる運動療法を行い、体力の維持・回復を図ります。無理のない範囲で継続することが大切です。栄養療法
塩分や水分の摂りすぎを防ぐため、管理栄養士による食事指導を行います。当院の特色
- 毎週心不全チームカンファレンスを開催し、入院・外来の患者さん一人ひとりについて治療方針を共有・検討しています。
- 症状の安定だけでなく、再発予防・生活の質(QOL)の向上を目指してサポートしています。
- 退院後も継続的にフォローし、在宅で安心して生活できるよう支援を行っています。
心不全は、命に関わる病気ですが、正しい治療と継続的なケアによって再発を防ぎ、安定した生活を送ることができるよう、専門チームが連携して、患者さん一人ひとりに寄り添った総合的な心不全治療を行っています。
下肢閉塞性動脈疾患
主な症状
下肢閉塞性動脈疾患では、歩くとふくらはぎや太ももに痛みやだるさが出ることがあります。この痛みは歩くのをやめて休むと和らぎ、また歩き始めると再び現れることが特徴で、「間歇性跛行」と呼ばれる症状です。進行すると、安静時にも痛みが出る、足先の皮膚が壊死する、潰瘍ができるなど、日常生活に大きな支障をきたす場合があります。
下肢閉塞性動脈疾患について
下肢に血液を送る動脈が狭くなったり詰まったりする病気です。血管が狭くなることで、歩くと筋肉に十分な血液が届かず、痛みやだるさが出ます。
原因は動脈硬化がほとんどで、放置すると歩行が困難になるだけでなく、潰瘍や壊死のリスクも高まります。
主な治療方法
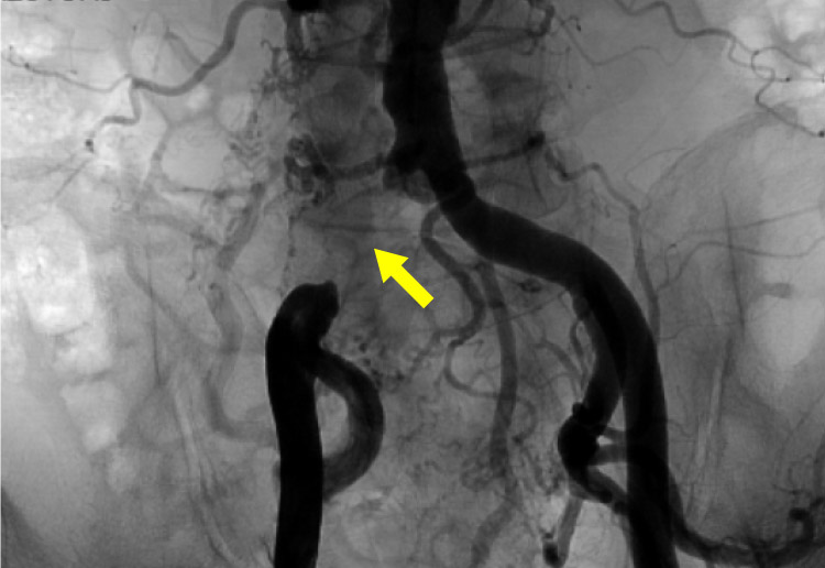
経皮的血管形成術(EVT)
狭くなった血管や詰まった血管に対して、カテーテルを使い、バルーンで拡張したり、ステント(金属の筒)を留置する治療を行います。石灰化が高度な病変には、バルーンだけでは拡張しにくいため、CROSSER(振動で石灰化を軟らかくする器具)を用いて治療することがあります。
経皮的血管形成術(EVT)
閉塞している血管に対してワイヤーを通過させバルーン拡張し最終的にステントを留置し血管を拡げ、血流を改善します。

CROSSER

外科的治療
血管の状態や症状に応じて、心臓血管外科と連携したバイパス手術も検討します。高度慢性下肢虚血(CLTI)の場合
足先に潰瘍や壊死がある場合は、形成外科・皮膚科・心臓血管外科・リハビリ科と緊密にカンファレンスを行い、感染の有無の評価、血行再建術(EVT・バイパス手術)、必要に応じた切断術などを総合的に検討し、最適な治療方針を決定します。当院の特色
- カテーテル治療(EVT)、ステント留置、CROSSERによる高度石灰化病変への対応
- 心臓血管外科と連携したバイパス手術の検討
- 潰瘍・壊死を伴うCLTI患者さんへの多職種カンファレンス
(形成外科・皮膚科・リハビリ科)
など、患者さん一人ひとりの状態に応じた最適な治療を提供しています。多職種が協力することで、歩行機能の改善や足の保存、生活の質向上を目指しています。
